ワンポイント
2026.01.19
変形性膝関節症における内側半月板逸脱(Medial Meniscal Extrusion)
12月22日院内勉強会を行いました。テーマは変形性膝関節症における内側半月板逸脱についてです。半月板は、膝関節の太ももの骨(大腿骨)とすねの骨(脛骨)の間にある、C字型の軟骨組織で、内側と外側に1つずつあります。体重の負荷を分散させ、膝関節の安定性を高め、衝撃を和らげるクッションのような役割を担っています。この半月板が損傷すると、痛みや腫れ、引っかかり感、ロッキング(急に膝が動かなくなる現象)などの症状が起こることがあります。


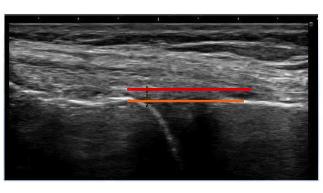
膝関節の屈伸に伴い半月板は前後移動するが、正常膝における内側半月板の側方への移動は3.0m m以下が基準とされている。3.0m m以上の内側半月板逸脱はOA進行の危険因子になることが明らかにされている。MMEが生じる要因には内反アライメントや肥満、半月板損傷などがある。超音波を用いたMMEの評価でもその基準値は2.0〜3.0m m以内とされる。
大腿骨と脛骨の内側縁を結ぶライン、 ——— 赤線は内側半月の偏位 ———
研究では膝内旋方向の等尺性収縮により内側半月板が中央部(逸脱と逆方向)へ移動することが示されている。半膜様筋や後内側関節包は内側半月板の後方に付着する。そのため、膝内旋方向(半膜様筋)の等尺性収縮を促すことでそれらの組織が内側半月板を後方に牽引し、結果として内側半月板の側方への移動距離が減弱すると考えられている。
自宅で行える膝内旋方向の等尺性収縮運動
つま先を内側に向けたままクッションが落ちないように膝を曲げる。


担当 河野 藤本